Do you struggle with taking accurate shades for challenging anterior cosmetic dentistry cases, such as large composite resins or porcelain crowns? Like most of you, I’ve always considered this one of the hardest aspects of dentistry, even with the power of digital photography. Now, however, a new tool has arrived that promises to revolutionize and simplify this challenge. It’s easy to use, affordable, and the most powerful tool for analyzing and communicating hue, value, and chroma in our dental restorations that I have ever used.
The polar_eyes Cross-Polarizing Filter
I first learned about this revolutionary new filter design on Facebook from Dr. Jason Smithson, whose composite resin artistry easily rivals that of the best lab technicians. Designed by Dr. Panaghiotis Bazos, a Greek dentist trained at the University of Southern California (Class of 2000), this filter is easily attached to Canon, Nikon, Sigma, and Metz ring flashes.
Color is Complicated
Just recently, Dr. Lane Ochi posted an Online CE Course on DentalTown.com that uses Color Theory to teach how we perceive color, and while I had learned some of this earlier, he gives the most thorough description I’ve seen – highly recommended. Fair warning – you’ll probably want to review it several times to really absorb the material, because he packs a LOT into that 1-hour course.
In simple terms, however, one of the biggest challenges we face when taking shades for cosmetic dentistry, whether porcelain or composite, is the reflection of light from the teeth, whether that reflection comes from overhead lights, ceiling lights, or the camera flash. The human eye has difficulty dealing with how that reflection can hide details of color. And given that most of us aren’t trained in truly understanding color, even if we can see it, how do we communicate it to the lab? For years, dentists have used different kinds of shade-matching devices, but based on many reviews, none of them have been particularly easy to use, and most of them are expensive.
Eliminate the Glare, and What’s Left is Color and Brightness
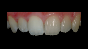
Take a look at this example photo (courtesy of Dr. Bazos), and what do you see? On the right side of the photo is what we typically see in DSLR photos taken with a ring flash, and on the left side is how teeth look when photographed using the same exact settings and the polar_eyes cross-polarizing filter. The difference is striking and easy to understand.
Since this blog is dedicated to making dental photography easy-to-understand, at this time, I am not going to discuss what exactly cross-polarization is, because it’s not really necessary to understand it to use this cool little device. Perhaps at a later date.
The polar_eyes is incredibly easy to install, but it’s a little tricky to keep in place for Canon flashes due to the flash design (not the filter design). Attached by a set of stick-on magnets, it is easily set up on your flash in about 2 minutes (if you’re really slow at reading the directions). Press the sticky side of the magnets to a clean flash surface, and you’re good to go! The filter is removed by gently sliding the filter up for down – you don’t want to pull it off, as the magnets can pull off, too. Don’t ask me how I know, ok? 😉
Where to Buy the polar_eyes?
Dr. Bazos has made the polar_eyes exclusively available through www.Photomed.net in the USA. Outside the USA, you will need to contact Dr. Bazos directly.
Cost: This is the absolute best part – it’s only $499! Extra sets of magnets (highly recommended by me to be on the safe side) will be a bit more, but as of the time I purchased mine, the price for them had not yet been determined. But compared to almost any other system currently available, this is super-affordable and amazingly easy to use. Literally, the first time you take a photo with it and look, you will love it.
More details and tutorials will be upcoming, so be on the lookout.

104
27
In all seriousness, photography has become one of my most-enjoyed hobbies ever, and it is both a fun challenge and just pure enjoyment to get out the camera and gear and go shoot with no purpose in mind but to have FUN!
Step 1: Go to the Edit option on the top menu, then scroll down to “Edit Watermarks”
Step 4: Name Your Preset
To my knowledge at this time, I’ve never had any of my online photos “stolen,” by which I mean no one has downloaded or “hot-linked” them for use on their on website or in other marketing media. That’s not to say it hasn’t happened, it just means I’ve never found any examples, because I don’t spend the time searching to find out.
You don’t need to complete everything – total overkill. The ones you do want to complete are the following sections, and at the end of this article you’ll see a set of screenshots of the information I include.


